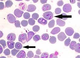
Las principales especies que afectan al ganado son Babesia divergens, Babesia bigemina, Babesia bovis y Babesia mayor. En los caballos la principal especie es Babesia equi (actualmente Theileria equi), en los perros Babesia canis, en los gatos Babesia felis, y en los ratones Babesia microti. En las personas, la mayoría los casos de babesiosis en EE.UU. son causados por Babesia microti a partir de roedores, y en Europa por Babesia divergens y Babesia bovis, a partir del ganado. Estos parásitos suelen denominarse piroplasmas por la forma, parecida a peras (piriforme), que se observan dentro de los eritrocitos parasitados. Especies reconocidas: Babesia bigemina, B. bovis, B. caballi, B. canis canis, B. canis vogeli, B. canis rossi, B. equi [Theileria equi], B. felis, B. gibsoni, B. major, B. microti, B. motasi, B.ovis, B. perroncitoi, B. trautmanni.

Árbol Taxonómico del Género Babesia

  • Dominio: Eukaryota
  • Clado: Sar (Supergrupo)
  • Superfilo: Alveolata
  • Filo: Apicomplexa
  • Clase: Aconoidasida (o Haemozoa)
  • Orden: Piroplasmida
  • Familia: Babesiidae
  • Género: Babesia (Starcovici, 1893)

 

Clasificación y Principales Especies por Huésped

El género Babesia incluye más de 100 especies reconocidas que parasitan mamíferos y aves. Se clasifican a menudo por el tamaño del parásito dentro del eritrocito (grandes o pequeñas).

  • Bovinos: B. bovis, B. bigemina, B. divergens
  • Caninos: B. canis (grandes), B. vogeli, B. rossi, B. gibsoni (pequeñas)
  • Equinos: B. caballi, Theileria equi (anteriormente Babesia equi)
  • Ovinos/Caprinos: B. ovis, B. motasi
  • Felinos: B. felis, B. cati
  • Silvestres: B. microti (roedores), B. vulpes (zorros)

Crea tu propia página web con Webador